CAD CAM para Odontologia

Tempo de Leitura: 9 minutos

Compartilhe:

Cad Cam para Odontologia
Confira neste conteúdo
Tempo de Leitura: 9 minutos

CAD CAM para Odontologia: Entenda tudo sobre Fluxo Digital

A incorporação do CAD CAM para Odontologia deixou de ser um diferencial de marketing para se tornar uma necessidade de sobrevivência clínica e laboratorial. No entanto, muitos profissionais investem somas milionárias em scanners intraorais, fresadoras e impressoras 3D, apenas para descobrir que o equipamento, por si só, não entrega a promessa de dentes em um dia ou adaptação perfeita. A frustração é comum: peças que não adaptam, margens abertas, oclusão alta e a sensação de que o analógico era mais seguro. O problema não está na máquina, mas na compreensão de que o digital não é mágica; é um fluxo de dados que exige precisão em cada etapa de transferência.

O CAD/CAM (Computer-Aided Design / Computer-Aided Manufacturing) atua como o sistema nervoso central da odontologia moderna. Ele não serve apenas para desenhar ou fabricar; sua função primordial é traduzir a realidade clínica do paciente, capturada pelo escaneamento, em uma reabilitação funcional e estética, eliminando as variáveis de distorção dos materiais de moldagem e gesso. 

Contudo, essa tradução de dados exige que o cirurgião-dentista e o técnico em prótese dentária (TPD) dominem parâmetros que antes eram invisíveis. Entender como uma malha STL se comporta, como a espessura mínima de uma cerâmica afeta a fresagem ou como a calibração da resina impacta o assentamento da peça é o que separa os amadores dos experts em fluxo digital.

Neste artigo completo, não vamos apenas falar sobre o que comprar, mas sobre como pensar digitalmente. Você vai entender por que o software CAD é o núcleo decisório, como evitar os erros de origem no escaneamento que inviabilizam o trabalho final e como escolher entre manter a produção interna (Lab-in-office) ou terceirizar. 

Se você busca transformar a curiosidade tecnológica em domínio técnico e segurança de execução, este material foi desenhado para a sua realidade.

Resumo executivo: O que você vai dominar neste guia

  • O CAD/CAM como Decisão, não Ferramenta: Entenda por que o sucesso clínico depende 80% do planejamento no software e apenas 20% da execução da máquina;
  • Integração de Fluxo: A conexão vital entre a qualidade da malha de escaneamento, o desenho no CAD e a estratégia de manufatura (CAM);
  • Independência Técnica: Como o domínio dos parâmetros de desenho liberta o dentista da dependência cega de laboratórios e softwares fechados;
  • Manufatura Híbrida: As diferenças críticas entre fresagem (subtrativa) e impressão 3D (aditiva) e quando indicar cada uma;
  • ROI e Gestão: Estratégias para transformar o custo do investimento tecnológico em lucro real e economia de tempo de cadeira;
  • Troubleshooting: Soluções práticas para os erros mais comuns de adaptação, pontos de contato e estética na rotina digital.

O que é CAD CAM para Odontologia e sua Revolução na Prática Clínica

Neste tópico, vamos definir tecnicamente o conceito de CAD/CAM, explorar sua evolução histórica desde os primeiros sistemas até a atualidade e discutir a diferença crucial entre sistemas abertos e fechados para a autonomia do profissional.

Definição técnica: Integrando desenho e manufatura assistida por computador

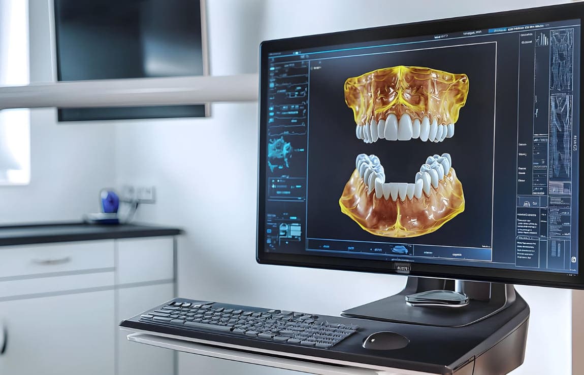
O termo CAD CAM para Odontologia refere-se à integração de duas tecnologias distintas, porém inseparáveis, aplicadas à reabilitação oral. O CAD (Computer-Aided Design) é a etapa onde os dados anatômicos digitalizados são manipulados em um ambiente virtual para projetar restaurações, aparelhos ortodônticos ou guias cirúrgicos. Já o CAM (Computer-Aided Manufacturing) é o processo que traduz esse desenho virtual em comandos de máquina (G-Code) para que uma fresadora ou impressora 3D produza o objeto físico. Tecnicamente, é a conversão de um arquivo de malha de pontos (como um STL ou PLY) em um objeto sólido com precisão de micrômetros, eliminando as etapas manuais de enceramento, inclusão e fundição que introduziam distorções cumulativas no processo analógico.

A evolução histórica: Do fluxo analógico à odontologia 4.0

A jornada do CAD/CAM começou na década de 1980 com o sistema CEREC, focado inicialmente em inlays e onlays de cerâmica feldspática. Naquela época, a tecnologia era limitada, com baixa resolução e pouca previsibilidade estética. Com o avanço da computação e da óptica, passamos da Odontologia 2.0 (digitalização básica) para a atual Odontologia 4.0. Hoje, a integração permite não apenas a fabricação de dentes, mas a interconexão de dados de tomografia (DICOM), escaneamento facial e movimentação mandibular, criando um paciente virtual completo. Essa evolução mudou o foco da produção em massa para a personalização em massa, onde cada restauração é única, mas produzida com a velocidade e padronização industrial.

Sistemas abertos vs. sistemas fechados: Qual o melhor caminho para sua autonomia?

Esta é a primeira grande encruzilhada do dentista digital. Sistemas fechados (como as versões antigas do CEREC) oferecem um fluxo plug-and-play onde scanner e fresadora comunicam-se perfeitamente, mas limitam o usuário aos materiais e softwares do fabricante. Sistemas abertos, por outro lado, permitem exportar arquivos (geralmente STL ou OBJ) que podem ser desenhados em qualquer software (como Exocad) e produzidos em qualquer máquina. A RA Play defende a autonomia: o sistema aberto exige uma curva de aprendizado maior, mas oferece liberdade total de escolha de materiais, laboratórios e estratégias de tratamento, evitando que o profissional fique refém de atualizações ou taxas de licença abusivas de uma única empresa.

O papel do CAD/CAM como núcleo decisório e integrador do fluxo digital

Muitos enxergam o CAD/CAM apenas como produção, mas ele é, na verdade, uma ferramenta de diagnóstico e planejamento. Ao visualizar o preparo no monitor com ampliação de 40x, o dentista percebe falhas que passariam despercebidas a olho nu. O software CAD atua como o juiz do processo: se o preparo não tem espaço suficiente, o software avisa; se a via de inserção está retentiva, ele bloqueia. Portanto, o sistema força uma melhora na qualidade técnica do dentista. O CAD/CAM não conserta preparos ruins; ele evidencia a realidade clínica, permitindo correções antes que o trabalho seja finalizado.

Dica do Especialista: Não confunda comprar um scanner com ter um sistema CAD/CAM. O scanner é apenas a porta de entrada. O verdadeiro CAD/CAM acontece quando você tem controle sobre o desenho (Design) e a fabricação (Manufacturing), seja no seu consultório ou através de um fluxo validado com seu laboratório.

Por que o CAD CAM para Odontologia é Essencial para a Previsibilidade Clínica?

Aqui abordaremos como a tecnologia elimina a incerteza dos processos laboratoriais tradicionais, garantindo controle sobre a adaptação, longevidade das peças e permitindo uma personalização biológica e funcional superior.

O fim da caixa preta: Como o domínio do desenho garante o controle do resultado

No fluxo analógico, após a moldagem, o trabalho entrava em uma caixa preta: o laboratório. O dentista só via o resultado dias depois, muitas vezes com surpresas desagradáveis. Com o CAD CAM para Odontologia, essa caixa se abre. O profissional pode aprovar o desenho antes da produção, verificar a oclusão, a área de espelho e o perfil de emergência. Ter acesso ao desenho significa ter controle sobre a biologia e a função. Se você sabe operar o CAD, ou ao menos visualizar criticamente o projeto no visualizador, você deixa de ser um espectador e passa a ser o coautor da prótese, reduzindo drasticamente as provas clínicas frustradas.

Relação entre precisão do desenho e longevidade dos tratamentos protéticos

A longevidade de uma prótese está diretamente ligada à sua adaptação marginal e à integridade estrutural do material. O desenho digital permite definir o cement gap (espaço para o cimento) com precisão de mícrons. Um espaço uniforme garante que a peça não sofra estresse hidráulico na cimentação e que não haja linhas de cimento espessas, que são portas de entrada para cárie secundária. Além disso, no CAD, respeitam-se as espessuras mínimas do material de forma automática. Se o fabricante da cerâmica exige 1.0mm oclusal, o software impede que o técnico deixe com 0.5mm, prevenindo fraturas catastróficas precoces que eram comuns na injeção ou estratificação manual sem controle de espessura.

Vantagens biológicas e funcionais da odontologia personalizada

A personalização vai além da estética. Com o CAD/CAM, é possível desenhar perfis de emergência que copiam exatamente a anatomia do dente extraído (no caso de implantes imediatos) ou que condicionam o tecido gengival de forma programada. Funcionalmente, o uso de articuladores virtuais permite simular os movimentos de desoclusão do paciente sem a necessidade de montagens físicas complexas e demoradas. Isso resulta em reabilitações que se integram à dinâmica mandibular do paciente, protegendo o sistema estomatognático e reduzindo o tempo de ajuste oclusal na cadeira.

Transformando dados do escaneamento em soluções clínicas assertivas

O sucesso do CAD/CAM depende da fidelidade dos dados de entrada. Um escaneamento digital intraoral de alta qualidade captura não apenas a geometria, mas a textura e, em alguns casos, a cor real. Esses dados, quando limpos e precisos, permitem que o software CAD calcule propostas de design (automorph) baseadas na anatomia vizinha. Isso transforma dados brutos em morfologia funcional. A assertividade clínica vem da capacidade do sistema de replicar essa morfologia no material restaurador com fidelidade, garantindo que o que foi planejado na tela seja exatamente o que será cimentado na boca.

As três etapas fundamentais do fluxo digital CAD/CAM integradas

Esta seção detalha o fluxo linear de produção, explicando a importância crítica da digitalização, o papel central do software de desenho e a materialização através da manufatura, além de como garantir a integração entre elas.

Etapa 1 — Digitalização: A qualidade do input e o impacto no resultado final

Tudo começa na aquisição da imagem. Seja através de scanners de bancada (para modelos de gesso) ou scanners intraorais, o objetivo é criar uma malha poligonal fiel. Erros de escaneamento, como áreas de sombra, saliva, sangue ou rasgos na malha, criam artefatos. O software CAD tentará interpolar (adivinhar) essas áreas faltantes, o que fatalmente levará a desadaptações. O dentista deve entender que o escaneamento exige afastamento gengival impecável e controle de fluidos. Uma digitalização pobre compromete todo o investimento feito em fresadoras e impressoras de ponta.

Etapa 2 — CAD: Por que o software é o verdadeiro cérebro da operação

É no software CAD (como Exocad, 3Shape ou Medit Link) que a magia técnica acontece. Aqui definimos: eixo de inserção, linha de término (bordo), espaço para cimento, pontos de contato e morfologia. O software atua como o cérebro porque é onde as decisões clínicas são parametrizadas. Por exemplo, definir um offset de cimentação errado pode fazer a coroa não descer ou ficar frouxa. É nesta etapa que integramos bibliotecas de dentes e implantes. O domínio das ferramentas de CAD permite manipular a anatomia como se fosse argila digital, mas com a precisão da engenharia.

Etapa 3 — CAM: Manufatura assistida e a materialização do planejamento digital

O CAM é o software de ninho (nesting) que prepara o arquivo para a máquina. Ele decide onde colocar os suportes de sustentação (no caso da impressão 3D) ou os conectores de sprues (na fresagem). Uma má estratégia de CAM pode arruinar um bom design. Posicionar um conector em uma área de contato proximal, por exemplo, exigirá ajuste manual pós-processamento que pode perder o ponto de contato. O CAM também calcula as trajetórias das brocas ou a exposição de luz, otimizando o tempo e o uso de material. É a ponte crítica entre o virtual e o real.

A integração contínua: Como evitar falhas de comunicação entre as fases do fluxo

A falha de comunicação geralmente ocorre na transferência de arquivos ou na interpretação dos dados. Se o dentista escaneia em oclusão habitual (MIH) mas o técnico monta o caso em Relação Cêntrica (RC) no software sem avisar, haverá erro oclusal. Outro ponto crítico é a calibração entre os equipamentos. O scanner deve estar calibrado, assim como a fresadora e a impressora. A integração exige protocolos claros: nomeação de arquivos padronizada, preenchimento completo da ordem de serviço digital e feedbacks constantes entre clínica e laboratório para ajustar parâmetros (como o aperto dos pontos de contato).

Dica do especialista: o erro mais comum é achar que o software resolve tudo. Se a Etapa 1 (Digitalização) for ruim, a Etapa 2 (CAD) será uma tentativa de salvar o caso, e a Etapa 3 (CAM) produzirá uma peça desadaptada. O fluxo é linear e dependente da qualidade da etapa anterior.

Fluxo Chairside vs. Fluxo Labside: Qual modelo escolher para seu perfil?

Discutiremos aqui os diferentes modelos de negócio possíveis com o CAD/CAM, ajudando a decidir entre produzir tudo no consultório, internalizar um laboratório completo ou manter parcerias estratégicas com TPDs.

Vantagens e desafios do atendimento odontológico em sessão única

O modelo Chairside (consultório) vende o sonho da coroa em uma hora. A vantagem é o marketing poderoso e a conveniência para o paciente (sem provisórios, anestesia única). No entanto, o desafio é operacional. O dentista precisa assumir o papel de desenhista e operador de máquina, ou ter uma equipe treinada para isso. O tempo de cadeira é otimizado, mas o tempo de bastidores aumenta. Funciona muito bem para casos unitários e simples, mas pode se tornar um gargalo em reabilitações extensas ou estéticas complexas que exigem caracterização artística refinada.

Lab-in-office: Internalizando a produção para reduzir prazos e custos

O conceito Lab-in-office é uma evolução do Chairside. Aqui, a clínica possui uma estrutura de laboratório robusta, muitas vezes com um TPD contratado in loco. Isso permite internalizar a produção, reduzindo custos de laboratório externo e prazos de entrega, sem que o dentista tenha que parar de atender para desenhar ou glasear peças. É o modelo ideal para clínicas de alto fluxo que buscam escala. O controle de qualidade é imediato: se a cor não bateu, corrige-se na hora, sem motoboy, sem espera de dias.

A parceria estratégica com o TPD na era do laboratório digital

Mesmo com equipamentos na clínica, a figura do TPD é indispensável para casos complexos. O laboratório digital externo (Labside) possui máquinas industriais (fresadoras de 5 eixos heavy-duty) capazes de usinar metais e zircônias de alta densidade que fresadoras de consultório não conseguem com eficiência. A parceria evolui: o dentista envia o arquivo digital instantaneamente e o TPD foca sua expertise em design complexo, maquiagem e acabamento, entregando um nível estético que dificilmente se consegue no fluxo rápido de consultório.

Critérios para decidir quando produzir internamente ou terceirizar casos

A decisão deve ser baseada na equação: Complexidade x Tempo x Custo.

  • Produzir Internamente: unitários posteriores, inlays/onlays, provisórios, placas miorrelaxantes, modelos de estudo, guias cirúrgicos simples;
  • Terceirizar: reabilitações extensas sobre implante, facetas estéticas anteriores (que exigem estratificação ou maquiagem complexa), estruturas metálicas, protocolos cerâmicos.
    Não tente abraçar o mundo. Use o CAD CAM para Odontologia interno para resolver a rotina e o fluxo rápido, e deixe a arte complexa para os parceiros especializados.

Manufatura na Odontologia Digital: Aditiva (Impressão 3D) e Subtrativa (Fresagem)

Vamos diferenciar as duas principais formas de produção física no fluxo digital, detalhando os materiais compatíveis com cada uma e a importância do pós-processamento para o sucesso final.

Entendendo a fresagem: Precisão e resistência em materiais cerâmicos

A fresagem (subtrativa) envolve um bloco de material sendo desgastado por brocas. É o padrão-ouro para cerâmicas definitivas (Dissilicato de Lítio, Zircônia, Feldspática). A grande vantagem é que o material já vem industrializado, livre de bolhas e com propriedades mecânicas máximas. No entanto, a fresagem tem limitações geométricas (o diâmetro da broca não entra em ângulos muito agudos) e desperdiça material. A precisão depende da calibração dos eixos da máquina e do estado das brocas. Brocas gastas geram microfissuras na cerâmica (chipping) e desadaptação.

O poder da impressão 3D: Versatilidade, agilidade e novas aplicações clínicas

A impressão 3D (aditiva) constrói o objeto camada por camada. É imbatível em custo-benefício para resinas. Permite geometrias complexas impossíveis na fresagem e desperdício de material quase zero. Sua versatilidade é enorme: modelos, guias cirúrgicos, provisórios de longa duração, placas oclusais e, mais recentemente, resinas definitivas com carga cerâmica. A agilidade de imprimir 10 arcos em 40 minutos muda a dinâmica produtiva da clínica. Porém, exige conhecimento químico: a resina precisa ser lavada e curada corretamente para atingir biocompatibilidade e resistência.

Materiais fresáveis e imprimíveis: De provisórios a reabilitações definitivas

  • Fresáveis: sircônia (resistência pura), Dissilicato de Lítio (estética e resistência), Cerâmicas Híbridas (resina+cerâmica para absorção de impacto), PMMA (provisórios);
  • Imprimíveis: resinas para modelos, Resinas Biocompatíveis para placas e guias, Resinas Compostas para dentes provisórios e as novas resinas com nanotecnologia cerâmica para definitivos (como as com Grafeno ou Cargas Híbridas).
    A escolha depende da indicação clínica: para carga imediata sobre implante, a impressão 3D é rápida e absorve impacto. Para uma coroa unitária posterior, a zircônia fresada é indestrutível.

Pós-processamento e acabamento: O segredo para estética e função de alto padrão

A peça que sai da máquina não está pronta.

  • Fresagem: precisa de remoção do sprue, pré-polimento e, na maioria das cerâmicas, sinterização (forno) e cristalização/glaze. O ciclo térmico é crítico para a resistência final;
  • Impressão 3D: exige lavagem (álcool isopropílico) e pós-cura UV. A cura incompleta deixa monômero residual (tóxico) e a peça fica frágil. A cura excessiva pode torrar a peça.
    O acabamento manual (polimento mecânico) é vital para a saúde gengival. Uma superfície rugosa acumula placa, independentemente de quão perfeito foi o CAD.

Dominando o Software CAD: A Chave para a Independência Técnica

Neste tópico, exploraremos os softwares disponíveis no mercado, a importância de usar bibliotecas de qualidade e como o foco na função oclusal e a inteligência artificial estão mudando a forma de projetar sorrisos.

Como escolher o melhor software de desenho CAD CAM para sua demanda específica

A escolha do software define seu teto de crescimento.

  • Exocad: o mais completo e poderoso do mercado. Curva de aprendizado média, mas possibilidades infinitas. Ideal para quem quer dominar tudo;
  • 3Shape: fluxo de trabalho muito intuitivo e forte em laboratórios, mas com custos de anuidade elevados;
  • Medit link/apps: softwares que vêm com os scanners, muitas vezes gratuitos e excelentes para o dia a dia (provisórios, modelos, placas), mas limitados para reabilitações complexas.
    Para quem está começando, dominar as ferramentas gratuitas do scanner é o primeiro passo. Para quem quer ser referência, migrar para um software robusto como Exocad é inevitável.

O impacto das bibliotecas digitais na padronização dos resultados clínicos

Bibliotecas são coleções de formas dentárias digitais. Usar uma biblioteca genérica resulta em dentes com aspecto artificial (dentes de chiclete). Bibliotecas naturais, escaneadas de dentes reais, trazem textura e morfologia que facilitam a função. Além disso, existem bibliotecas de componentes de implantes (Ti-bases, Scanbodies). Usar a biblioteca oficial do fabricante do implante é crucial para garantir que a conexão protética tenha o encaixe perfeito e passividade, evitando soltura de parafusos.

Desenho digital além da estética: Foco total na função oclusal e anatomia

O maior erro dos iniciantes no CAD é focar apenas na forma vestibular (estética). O sucesso clínico está na oclusão. O software permite visualizar contatos oclusais com mapas de calor. É preciso desenhar contatos puntiformes e estáveis, e guias de desoclusão (canina e anterior) funcionais. O Articulador Virtual deve ser usado para checar interferências. Um dente bonito que gera interferência oclusal causará dor, fratura ou perda óssea. O CAD deve ser usado para engenharia reversa: primeiro a função, depois a estética.

Inteligência Artificial no CAD: Otimizando o desenho de próteses e fluxos de trabalho

A IA já é realidade no CAD CAM para Odontologia. A função AI Design em softwares modernos sugere, em segundos, uma coroa adaptada à anatomia do paciente, baseando-se em bancos de dados de milhares de casos de sucesso. Ela reconhece a margem do preparo automaticamente e ajusta a oclusão. Isso não substitui o profissional, mas acelera o processo bruto, permitindo que o dentista ou técnico gaste seu tempo apenas refinando os detalhes e a personalização, aumentando brutalmente a produtividade.

Inteligência estratégica e ROI: Como transformar tecnologia em lucro real

Aqui vamos tratar do aspecto financeiro e gerencial, demonstrando como o investimento em conhecimento e a otimização de processos pagam a conta do equipamento e geram lucro real.

Fugindo da comoditização do hardware: Por que investir em conhecimento antes de máquinas

Comprar o scanner mais caro não garante os melhores pacientes. O mercado está cheio de clínicas equipadas com tecnologia de ponta subutilizada. O diferencial competitivo não é a máquina (que vira commodity), mas o cérebro que a opera. Investir na capacitação da equipe para operar o fluxo digital completo traz mais retorno do que trocar de scanner a cada dois anos. O conhecimento permite extrair o máximo de máquinas de entrada, enquanto a ignorância subutiliza máquinas de topo de linha.

Gestão de custos e viabilidade financeira do sistema CAD/CAM no consultório

Para o sistema se pagar, ele precisa rodar. Calcule o custo da sua hora clínica. Se o CAD/CAM permite fazer uma coroa em sessão única, você liberou a cadeira para outro paciente na segunda sessão que não existirá. Além disso, a impressão 3D de modelos e guias tem custo de material irrisório (centavos ou poucos reais) comparado ao laboratório externo. A viabilidade financeira vem da internalização de itens de baixo valor agregado e alta frequência (provisórios, placas, modelos) e da venda de tratamentos de alto valor com a percepção de modernidade.

Redução de retrabalho e aumento da produtividade horária na clínica digital

O retrabalho é o maior ladrão de lucro na odontologia. Uma repetição de moldagem ou uma peça que volta para o laboratório custa o dobro do tempo e material, zerando a margem de lucro. O fluxo digital, quando bem executado, reduz as repetições para perto de zero. A previsibilidade do CAD/CAM significa que a peça chega e adapta. Isso aumenta a produtividade horária: você faz mais procedimentos em menos tempo, com menos stress e maior previsibilidade de agenda.

Treinamento e engajamento da equipe para um fluxo digital sem gargalos operacionais

O dentista não deve ser o operador de scanner e impressora em tempo integral. A equipe auxiliar (ASB/TSB) deve ser treinada para realizar o escaneamento inicial, preparar a impressão 3D, lavar e curar as peças. O fluxo digital deve ser um protocolo da clínica, não um hobby do dono. Quando a equipe domina o processo, o dentista foca apenas no diagnóstico, planejamento e execução clínica, tornando o sistema escalável e eficiente.

Dica do Especialista: Equipamento parado é prejuízo. A conta do ROI (Retorno sobre Investimento) deve incluir a economia de material de moldagem, a redução de sessões clínicas e, principalmente, o valor agregado que você pode cobrar por entregar um tratamento mais rápido e confortável.

Guia de Solução de Problemas (Troubleshooting) no Fluxo CAD/CAM

Neste tópico prático, identificaremos as causas e soluções para os problemas mais frequentes no dia a dia, desde falhas de adaptação até a manutenção preventiva dos equipamentos.

Por que peças fresadas ou impressas falham na adaptação marginal?

Se a peça não adapta, verifique a cadeia: 1. O escaneamento capturou a margem nitidamente? 2. Os parâmetros de Gap de Cimento no CAD estão corretos para a sua impressora/fresadora? (Impressoras tendem a expandir a resina, exigindo ajustes de offset); 3. A impressora está calibrada? (Nivelamento da plataforma e tempo de exposição); 4. Houve distorção na sinterização ou cura? Geralmente, o erro é de parâmetro (configuração), não de hardware.

Resolvendo erros de integração e arquivos entre scanners, softwares e fresadoras

Arquivos corrompidos ou mesh holes (buracos na malha) travam as fresadoras. Sempre use softwares de reparo de malha (o próprio CAD faz isso ou ferramentas como Meshmixer) antes de enviar para produção. Outro erro comum é a incompatibilidade de versões de software. Mantenha tudo atualizado. Se a fresadora não lê o arquivo, verifique se o CAM exportou o G-Code correto para aquele material específico (não se fresa PMMA com estratégia de Zircônia).

Manutenção preventiva básica: Garantindo a vida útil de fresadoras e impressoras 3D

Na fresagem: troque a água/fluido de refrigeração e limpe os filtros semanalmente. Calibre os eixos a cada X ciclos. Troque as brocas antes que quebrem. Na impressão 3D: verifique o filme FEP do tanque (se estiver opaco ou furado, a impressão falha), mantenha o LCD limpo e a guia linear lubrificada. A negligência na limpeza é a causa nº 1 de chamados técnicos caros e desnecessários.

Limitações clínicas do sistema: Quando o fluxo digital não é a melhor indicação?

O digital não resolve tudo. Preparos subgengivais profundos sem controle de umidade (sangue/fluido) são impossíveis de escanear com precisão. Nesses casos, a técnica do fio afastador duplo é obrigatória, ou deve-se considerar moldagem convencional e posterior digitalização do modelo. Áreas de desdentados totais com mucosa flácida também são desafiadoras para scanners intraorais. O bom estrategista digital sabe quando usar o analógico para garantir o resultado.

Aplicações Avançadas e o Futuro do CAD CAM para Odontologia

Finalizaremos o conteúdo técnico olhando para o futuro, explorando como a integração de tecnologias como a tomografia e novos materiais estão expandindo os limites do que é possível fazer com o fluxo digital.

Planejamento reverso e cirurgia guiada: Integração entre CAD e tomografia

O futuro é a sobreposição. Unir o STL (superfície) com o DICOM (osso) permite planejar a posição do implante baseado na futura coroa (planejamento reverso real). O guia cirúrgico impresso translada esse planejamento para a boca, garantindo que o implante saia onde o dente precisa estar, e não onde tem osso sobrando. Isso simplifica a prótese e aumenta a longevidade.

Reabilitações complexas sobre implantes e o uso de bibliotecas protéticas

Para protocolos e casos múltiplos, o CAD permite desenhar barras e infraestruturas com passividade passiva, algo difícil na fundição. O uso de bibliotecas originais de Ti-bases garante a conexão perfeita. A tendência é o uso de materiais monolíticos (Zircônia Multilayer) que dispensam a aplicação de cerâmica, reduzindo o risco de lascamento (chipping) e facilitando a manutenção.

O papel da IA na automação de decisões técnicas e diagnósticos

A IA (como a Iara, da RA Play) já auxilia na identificação de cáries em raios-X e na análise de falhas de impressão 3D. Em breve, a IA no CAD sugerirá não apenas o desenho, mas o plano de tratamento ideal baseado em big data, alertando sobre riscos biomecânicos antes mesmo de iniciarmos o tratamento.

Tendências de mercado: Novos materiais biopolímeros e personalização em massa

Novos materiais, como os polímeros infundidos com grafeno (G-CAM), prometem a leveza da resina com a resistência e biocompatibilidade próximas à cerâmica. A impressão 3D multicolorida e multimaterial também avança, permitindo imprimir base de gengiva (flexível) e dentes (rígidos) em uma única peça. O futuro do CAD CAM para Odontologia é a impressão direta de definitivos com estética natural.

Por que Escolher a RA Play para Dominar o CAD CAM para Odontologia?

Neste encerramento, mostramos como a metodologia da RA Play se diferencia do mercado, focando na aplicação prática e suporte contínuo para garantir seu sucesso na jornada digital.

Metodologia RA Play: Preenchendo a lacuna entre o hardware e a aplicação clínica

A RA Play não ensina apenas a apertar botões. Ensinamos odontologia digital real. Nossa metodologia foca em preencher a lacuna deixada pelos vendedores de equipamentos: o como fazer funcionar na segunda-feira de manhã. Conectamos a teoria do fluxo digital com a realidade suja de sangue e saliva da clínica, e pó e prazo do laboratório.

Do básico ao avançado: Uma jornada educacional estruturada e validada pelo mercado

Diferente de cursos de final de semana, a RA Play é um ecossistema de streaming contínuo. Você pode começar aprendendo a escanear e, meses depois, estar dominando o Exocad ou a calibração fina de resinas 3D. Nossos conteúdos, como a série Descomplicando a Impressão 3D e as Masterclasses de CAD, são validados por milhares de alunos que aplicam essas técnicas diariamente.

Como o ecossistema RA Play elimina a insegurança técnica e o prejuízo financeiro

Oferecemos ferramentas como o PrecificaRA para você não perder dinheiro na transição digital e a IA Iara para tirar dúvidas técnicas em tempo real. Eliminamos a curva do desespero onde o dentista compra o equipamento e o deixa parado por não saber resolver falhas básicas. Transformamos insegurança em domínio técnico.

Próximos passos: Iniciando sua jornada no CAD/CAM com autoridade e segurança

Não deixe seu investimento virar um peso de papel caro. O CAD/CAM é o presente e o futuro da odontologia rentável e previsível.

Acesse agora a RA Play, comece pelos nossos cursos fundamentais de Fluxo Digital e assuma o controle total das suas reabilitações. A tecnologia está pronta. E você?

Perguntas frequentes sobre CAD CAM para Odontologia

O que é necessário para iniciar com CAD CAM na minha clínica?

Para iniciar o fluxo CAD/CAM Chairside, o investimento básico envolve um scanner intraoral, um computador de alta performance (necessário para rodar softwares de desenho 3D e processamento de imagens) e, opcionalmente, uma impressora 3D para começar com modelos e provisórios. Não é obrigatório comprar uma fresadora imediatamente; você pode escanear e desenhar na clínica e enviar o arquivo digital para um laboratório parceiro fresar, reduzindo o custo inicial e a curva de aprendizado operacional enquanto se familiariza com a digitalização.

Esses são os formatos de arquivo gerados pelos scanners. O STL (Standard Tessellation Language) é o mais comum, contendo apenas a geometria da malha 3D (forma), sem cor. O OBJ também contém a geometria, mas pode carregar informações de textura. O PLY (Polygon File Format) é o mais completo para odontologia, pois armazena a geometria e a cor real (textura colorida) em um único arquivo. Para casos estéticos onde a cor da gengiva ou do remanescente importa, o PLY é superior para a comunicação com o laboratório.

Sim, é perfeitamente possível e muito comum. O fluxo digital permite desenhar facetas com espessuras mínimas (até 0.3mm dependendo do material) e planejar o sorriso (Digital Smile Design) antes de tocar nos dentes. As facetas podem ser fresadas em cerâmicas vítreas (como dissilicato de lítio) ou feldspáticas. No entanto, para atingir um resultado estético natural de alta transparência e mimetismo, muitas vezes é necessário que, após a fresagem, a peça receba acabamento manual, textura e maquiagem por um técnico experiente.

Um fluxo aberto significa que os equipamentos e softwares não são bloqueados entre si. Você pode usar um scanner da marca A, desenhar num software da marca B (como Exocad) e produzir numa impressora ou fresadora da marca C. Isso permite exportar arquivos STL livremente. A grande vantagem é a liberdade de escolha de materiais e fornecedores, além de custos geralmente menores a longo prazo. Em contrapartida, exige que o profissional entenda mais de informática e calibração para garantir que todas as pontas se conversem.

Estudos clínicos de longo prazo mostram que as restaurações feitas em sistema CAD/CAM, especialmente as de cerâmica e zircônia, possuem longevidade comparável ou superior às feitas pelo método convencional, desde que os parâmetros técnicos sejam respeitados. A precisão de adaptação marginal obtida no digital costuma ser superior, o que reduz infiltrações e cáries secundárias. A durabilidade depende menos da máquina e mais do planejamento (respeito às espessuras mínimas), da oclusão correta e do processo de cimentação adesiva adequado.

Até pouco tempo atrás, a impressão 3D era restrita a provisórios, modelos e guias. Porém, o cenário mudou com a chegada das resinas definitivas com carga cerâmica (híbridas) e das resinas com grafeno. Esses novos materiais possuem resistência à abrasão e propriedades mecânicas suficientes para serem considerados permanentes (longa duração). Contudo, ainda estão em evolução constante. Para pontes extensas ou áreas de carga mastigatória muito pesada, a zircônia fresada ainda é o material de escolha pela sua resistência estrutural comprovada.

Uma biblioteca de dentes é um banco de dados de formas anatômicas digitais que o software usa como base para desenhar as restaurações. Em vez de esculpir um dente do zero, o software puxa um dente pronto da biblioteca e o adapta ao espaço disponível. Existem bibliotecas genéricas e bibliotecas naturais (copiadas de dentes reais). O uso de boas bibliotecas é fundamental para conseguir uma anatomia oclusal funcional e uma estética natural rapidamente, padronizando a qualidade dos trabalhos independentemente da habilidade manual de escultura do operador.

Não é necessário ser um expert em TI, mas é preciso ter familiaridade com o uso de computadores e disposição para aprender novos softwares. A maioria dos programas odontológicos hoje é desenhada com interfaces intuitivas (Wizards) que guiam o usuário passo a passo. No entanto, entender conceitos básicos de gerenciamento de arquivos (salvar, exportar, pastas), calibração e manutenção básica dos equipamentos é essencial para não ficar refém de suporte técnico para problemas simples do dia a dia.

As falhas na impressão 3D geralmente ocorrem por três motivos principais: erro de calibração da plataforma (não está nivelada), erro de parâmetros de resina (tempo de exposição de luz incorreto para aquela camada) ou problemas no suporte (suportes mal posicionados ou insuficientes para segurar a peça durante a força de descolamento do tanque). Também é crucial verificar a temperatura do ambiente (resinas gostam de calor, acima de 20°C) e a integridade do filme FEP do tanque. Raramente o defeito é na impressora em si.

Para muitos dentistas e laboratórios, sim. Terceirizar o desenho para um Design Center permite que você foque no escaneamento e na finalização, sem gastar horas na frente do computador desenhando. É uma ótima opção para casos complexos onde sua habilidade de software pode ser limitada, ou para picos de demanda. Você envia o arquivo escaneado, o centro de design devolve o desenho pronto, e você apenas imprime ou fresa. Isso escala sua produção sem aumentar custos fixos com funcionários designers especializados.

5/5 - (2 votos)